钱江晚报·小时新闻通讯员 金南星 记者 张冰清
春节临近,家家户户开始置办年货,不少人家开始准备鸡鸭鱼肉等大餐。
但是您知道吗,许多人因为接触活禽患上严重的肺部感染,甚至住进ICU十多天!
义乌大爷用鸡粪施肥
住进ICU10天九死一生
金大爷69岁,是义乌本地人,家里有自留地。
他用鸡粪给菜地施肥,结果出现了咳嗽发热,最高体温有39.7℃,检查发现是严重肺炎。
因为病情严重,不得不气管插管,打着呼吸机在浙江大学医学院附属第四医院重症监护室住了10来天,算是九死一生。
最后通过肺泡灌洗液宏基因测序,明确是“鹦鹉热衣原体”细菌感染。

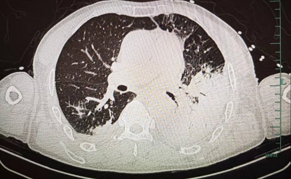
图片可见一侧肺部几乎变成了“白肺”,存在严重炎症
左手鸡右手鸭去探亲
结果患上了严重肺炎
叶女士是福建人,弟弟在义乌工作。为了来义乌探亲,她特地在出发前宰杀了自家饲养的鸡和鸭子。
这些礼物承载了满满的心意,弟弟一家尝到了久违的家乡菜肴。然而不幸的事情发生了。
叶女士刚到义乌2天,就出现头晕乏力,继而高热,最高体温达40℃,呼吸困难,口服退烧药疗效不好。
急忙被送到浙大四院,抽血、胸部CT后,查出严重的肺炎。最后通过肺泡灌洗液宏基因测序,明确是“鹦鹉热衣原体”细菌感染。
浙大四院呼吸与危重症医学科孔铖英医师介绍,类似的真实案例还有很多很多,比如清理鸡窝后肺感染了鹦鹉热衣原体,饲养鸭子感染鹦鹉热衣原体,养了鸽子后感染了鹦鹉热衣原体……
孔铖英介绍,鹦鹉热衣原体,最初是从鹦鹉体内分离出来,后来陆续从长尾鹦鹉、鸽子、鸭、火鸡、海鸥和相思鸟等130种鸟类的体内分离出来。鹦鹉热衣原体是引起禽类呼吸道和消化道疾病的病原体,可引起人类感染。
★哪些动物可能携带 鹦鹉热衣原体?
带菌或发病的鸟类、家禽、野生水鸟、外观健康但排菌的鹦鹉、金丝雀等禽类,是重要的传染源。
含鹦鹉热衣原体的分泌物、排泄物、羽毛及尘埃等可污染环境。
★为什么接触家禽后会被感染?
宰杀、饲养鸡、鸭、鸽子等禽类时,鹦鹉热衣原体随着分泌物、羽毛、排泄物,以肉眼不可见的形式漂浮在空气中,随着呼吸进入呼吸道,进而感染我们的肺,进展为肺炎,有的可能会进展为重症肺炎,甚至死亡。
★鹦鹉热衣原体感染后的症状?
如果接触禽类后出现发热、咳嗽咳痰、乏力等不适的症状,及时到医院做检查,明确一下是不是鹦鹉热衣原体导致的感染。
孔铖英医生介绍,临床上还有遇到患者发热之前出现胡言乱语、嗜睡等症状。鹦鹉热衣原体侵入人体后,潜伏期一般为7-15天,短者3天,最长可达45天。
另外,鹦鹉热衣原体不仅仅只是伤害“肺”,它还是多系统累积的,严重症状包括肺炎、心内膜炎、心肌炎、神经系统病变、多脏器障碍等。
★鹦鹉热衣原体肺炎的治疗?
如果确诊患上了鹦鹉热衣原体肺炎,也不用过于担心,遵从医嘱用药可以治愈,四环素类、大环内酯类抗生素是感染鹦鹉热衣原体首选、次选药物,喹诺酮类药物对鹦鹉热衣原体也有效。
医生提醒:免疫力低下的老人,尤其注意提防“鹦鹉热”
鹦鹉热衣原体肺炎的预防重在防控,接触禽类或饲养禽类环境是佩戴好口罩,勤洗手。
平时加强营养、注意休息,提高自身免疫力是根本。
如家中有老年体弱人员,尽量避免接触禽类及饲养禽类的环境。