15岁的高中生小郑(化姓)是学校合唱团成员。前不久,她在练习高音时,左胸突然像被撕开一样疼,连呼吸都变得困难。到宁波市中医院一查,竟然是原发性气胸,通俗地说,就是肺“炸”了。
医生提醒,这种病特别爱“招惹”瘦高个。唱歌、剧烈运动、大笑等行为,都可能让胸腔内压力骤增,成为刺破胸膜的“最后一根稻草”。
挑战高音C时突发意外
这病“专找”瘦高个
小郑身高168厘米、体重45公斤,是典型的“抽条期”少女。那天,小郑正准备唱一个完美的高音C,意外突然发生。老师和队员发现后,紧急将她送往宁波市中医院。诊断结果出乎所有人的意料:她确诊为“左侧自发性气胸”,肺压缩达40%。所幸抢救及时,经过胸腔闭式引流和中药调理,小郑如今已康复出院。
唱个歌为什么会引发气胸?
该院感染肺病科周晶晶医生解释:“正常情况下,我们的胸腔是密闭空间,肺部就像一个能自由收缩的‘气球’,而气胸就相当于‘气球’破了个洞,气体漏进胸腔后不断压迫肺部,导致肺部无法正常扩张。”
她说,气胸发作时,患者会突发胸痛、呼吸困难,严重时甚至危及生命。临床上,自发性气胸主要分为原发性和继发性两类:原发性气胸格外“偏爱”瘦高体型的年轻人,尤其是青春期群体。“这类人群身体发育速度快,肺部弹力纤维发育却跟不上节奏,容易形成肺大疱(肺部的微小气泡),一旦遇到剧烈咳嗽、举重物、高声唱歌等动作,肺大疱就可能破裂,进而诱发气胸。”
而继发性气胸则多见于有慢性阻塞性肺疾病、肺结核等肺部基础病的患者,受损的肺部组织让肺泡变得脆弱,更易出现破裂情况。

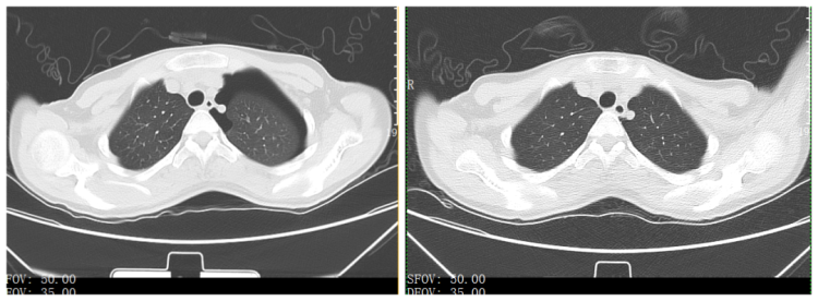
治疗前后CT对比
气胸不是“意外”
是体质与诱因的双重叠加
在中医看来,小郑的遭遇并非单纯的“意外”,而是体质基础与诱发因素共同作用的必然结果。
她分析,瘦高体型的青少年,往往存在肺脾两虚的体质特点。“中医认为,肺主一身之气,肺气不足则胸膜(中医称‘肺膜’)的坚固性大打折扣;脾是肺的‘营养供给站’,脾虚无法充分滋养肺脏,就像给肺部筑起了一道脆弱的防线,稍有外力刺激就容易出问题。”
其次,小郑发病的直接原因是用力过度,打乱了气机平衡。“全力唱高音时,人体气机会急剧向上冲,本就虚弱的肺气难以“稳住”这种剧烈变化,进而导致肺络损伤。”
最后,从病理上来说,气体进入胸腔压迫肺部,在中医看来属于“气滞胸胁”范畴。“胸腔是人体清气聚集的关键部位,气机堵塞会导致胸阳无法舒展,从而引发胸痛;肺气失去原本的宣发和肃降功能,自然会出现呼吸困难的症状。”
一旦发生气胸,该如何科学应对?
周晶晶介绍,临床中会根据患者病情制定个性化方案:西医治疗有明确的路径,症状较轻者可保守观察,严重时需通过胸腔闭式引流排出胸腔内气体,反复发作者可能需要手术修复;中医则根据患者病程和体质辨证施治:急性期用薤白通阳止痛等方剂,缓解期用苓桂术甘汤、加味二陈汤等化痰祛湿、补肺汤健脾升阳、补肺益气,从根源调理体质,降低复发风险。
怎么样才能远离气胸?
这三招可让肺部更强大
治疗是事后补救,预防才是守护健康的根本。针对自发性气胸的高发人群和诱因,该院专家团队整理了一套实用的护肺方案:
体质调理:中药+食疗双管齐下
肺气虚弱者可在医生指导下服用玉屏风散益气固表,脾虚者用补中益气汤、六君子汤等调理,从内加固肺部“防线”;日常多吃山药、百合、银耳等补肺气食物,小米、南瓜、红枣等健脾食材,避免辛辣生冷食物耗气伤阴,减少对肺部的刺激。
呼吸锻炼:让肺部更“强壮”
练习腹式呼吸,缓慢深长地吸气、呼气,增强膈肌力量,避免胸腔压力骤变对肺部造成冲击;尝试中医六字诀中的“呬”字功,这是专门调理肺脏的呼吸法,每天练习10分钟,能帮助养护肺气,提升肺部功能。
生活禁忌:避开“危险动作”
瘦高体型青少年、肺部基础病患者,应避免突然用力、屏气、剧烈咳嗽等行为;唱歌时量力而行,不要盲目挑战高音;运动前做好充分热身,避免高强度运动对肺部造成负担。
“肺是人体的‘华盖’,像一把伞一样保护着五脏六腑,却也格外娇嫩。”周晶晶强调,自发性气胸看似突发,实则有迹可循。瘦高体型的青少年群体,更要关注肺部健康,一旦出现突发胸痛、呼吸困难等症状,需立即就医,切勿拖延。
来源 宁波晚报 记者 庞锦燕 通讯员 陈君艳