取出来了!树枝全部取出来了!
2019年4月23日,手术室里,一根长达5厘米的树枝被医生从8岁小男孩小李的口中取出。如果不是亲眼所见,很难想象这根树枝竟然已经在孩子咽部深藏超过两年。
广州日报全媒体记者4月26日从中山大学孙逸仙纪念医院口腔颌面外科获悉,手术前,这根树枝已在孩子体内腐烂,随时可能导致出血并阻塞呼吸道,如同一颗随时可能威胁他生命的“不定时炸弹”,处理起来十分棘手。

六龄童骑车摔倒 树枝插入下巴
两年前,家在湖南衡阳的6岁男孩小李在骑自行车玩耍的时候不小心摔倒,被地面上的一根树枝插入右半边下巴。小李的父母立即将他送入当地县医院救治。
不幸的是,由于由于当地医院水平有限加上树枝的插入部位较深,当地医生只取出了暴露在孩子下巴外面的树枝断端。手术后,小李下颌的手术切口流脓不止,随后伤口很快愈合。戳在里面的一截树枝就这样越“埋”越深,不仅无法取出,还影响孩子的张口进食和正常呼吸。
这两年来,残留的树枝在小李的咽旁形成了一个异物感染源,导致小李的右侧咽旁、颊部不断发炎。随着时间的推移,小李的右侧面颊部渐渐肿胀起来,嘴巴慢慢越张越小,直到后来小李只能喝流质食物,身体也日渐消瘦。
小李的父母带他多次求医于各大医院无果,慕名来到广州,向“实力中青年医生”、中山大学孙逸仙纪念医院口腔颌面外科黄志权教授。
树枝威胁气道 吃饭都很难
“孩子来到医院时,右脸肿胀明显,颜面发育也不对称,张口很困难。”黄志权教授回忆道,由于吃饭咀嚼都成为“高难度动作”,孩子身体瘦弱,严重营养不良。


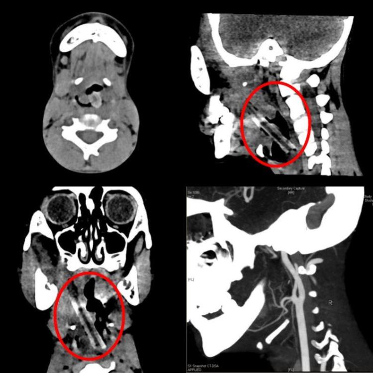
单从外表看,很难联想到内藏巨大异物。CT检查结果一出来,所有医生不禁倒吸一口气:“很少见到这样的情形!”
CT检查图片可见树枝位置
原来,检查结果显示,长达5厘米的树枝从小李右侧咽旁延续至左侧梨状窝,这个粗大的树枝随时影响到旁边狭窄气道的通气与进食。
“没想到如此大的树枝,竟然能够在小李的体内存留两年之久。”情况复杂棘手,黄志权教授马上联系医院放射科李勇教授、麻醉科林道炜副教授和耳鼻喉科陈仁辉医生进行多学科会诊,商讨诊治方案。
由于残留的树枝位置较深,从小李咽旁间隙跨过会厌,一直插入左侧咽旁间隙。这样一个“野蛮”的树枝随时会导致出血阻塞呼吸道,处理起来十分棘手。
各位专家经过反复讨论,制定了两套手术方案。首选方案是尝试在支纤镜下进行插管术,完成麻醉后再利用支撑喉镜取出树枝。这套方案的优点是创伤非常小,在颌面部不留下疤痕,但是所面临的难题就是小李年纪太小,不能配合医生张大口以进行手术。
为防万一,专家们又商定了一个备选方案:切开气管后由颌下入路取出树枝。这个方案保证了小李体内的树枝取出,但缺点是创伤大,而且遗留手术疤痕。
手术遇困难 树枝在体内发黑腐烂 一夹就碎
2019年4月23日上午10点,小李被推进手术室。由于小李张口严重受限,林道炜副教授在支纤镜下,稳定而快速地将经鼻气管插管侧方通过会厌处的树枝异物,为小李进行麻醉,也为手术的开展提供了稳定的保障。


由于小李的张口受限,如何安放支撑喉镜成了一个棘手的问题。黄志权教授和陈仁辉医师的商量后,决定利用单边开口器最大限度的打开口腔,为小李安放支撑喉镜。
然而,新的问题又出现了。在纤维镜下多次探查,一开始仅看到树枝皮和树枝尖端部分露出,而且由于树枝在体内停留时间过长,腐烂后一夹就碎,十分考验手术者的经验和技术。

“小心夹出这一小段易碎的树枝块后,我们发现下方树枝块直径更粗,难以夹持。”黄志权教授介绍,手术团队最后决定启用食道异物钳,一把夹出树枝异物。那一刻所有人都仿佛屏住了呼吸,眼睛紧盯着纤维镜的显示屏。大约1分钟后,当直径达1厘米、长度达5厘米的大块树枝异物终于被取出时,大家长舒一口气。胜利在望,各位专家沉下心来再次检查,确保没有树枝残片存留。
取出的树枝小碎片
“手术非常顺利,仅仅用时20分钟就完成。手术成功避免了气管切开和口外切口,极大减少了小朋友的痛苦!”同时,黄志权教授提醒,家长要提高防范意识,如果孩子因为外伤有异物进入体内,应该到医院进行规范治疗,务必保证彻底取出异物,以免残留异物导致不良后果。
专家简介

黄志权,教授,主任医师,博士生导师,“实力中青年医生”。
现任中山大学孙逸仙纪念医院口腔颌面外科副主任,广东省医学会颌面⁃头颈外科学分会常委。2001 年自中山医科大学口腔医学院毕业后就职中山大学孙逸仙纪念医院口腔颌面外科至今,2011至2012年,在美国印第安那大学Simon 癌症中心做访问学者。主持国家自然科学基金2项、广东省自然科学基金以及中央高校科研项目5项。以第一作者和通讯作者发表SCI论文30篇。擅长口腔颌面-头颈肿瘤的综合治疗,如舌癌、牙龈癌等口腔癌的根治及缺损的同期修复的手术治疗,每年完成头颈部恶性肿瘤和放射性骨坏死病例切除同期显微游离皮瓣修复等高难度手术近百例。